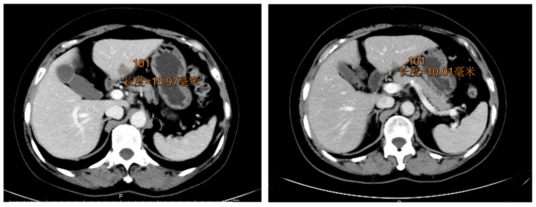
乳腺癌已取代肺癌,成为全球第一大癌症,严重威胁着女性生命健康。抗HER2治疗是HER2阳性乳腺癌患者的治疗基石,当前,如何克服耐药问题已成为研究者探索的重点。一项鸿运国际(中国)生物的新型抗HER2抗体药物偶联物(ADC)MRG002治疗HER2阳性晚期实体瘤的多中心、开放标签、剂量递增和扩大的I期研究正在如火如荼地召开。吉林大学第一医院吕铮副主任医师、贾琳主治医师收治的一例多线治疗后进展的HER2阳性晚期乳腺癌患者,经MRG002治疗仅2周期,肝转移灶从由15.97 mm缩小至10.01 mm,评估为部分缓解(PR)。治疗期间患者耐受性好。
病例简介
初诊情况:绝经后女性,6年前因“乳腺癌”行右乳腺癌改良根治术,术后病理:(右侧乳腺)浸润性导管癌III级,肿块大小3.5 cm*3 cm*2.5 cm,乳头及各象限未见癌,乳腺旁淋巴结见转移癌(6/15)。免疫组化:ER(-)、PR(-)、HER2(3+)、Ki67(+60%)。术后诊断为右侧乳腺浸润性导管癌IV期。患者经6线治疗且使用过拉帕替尼、T-DM1等药物,现在无有效的治疗方案。
表1 患者的治疗经过

入组情况
综合评估患者,ECOG评分为1分,具有符合RECIST v1.1定义的可测量病灶,并符合所有入组标准,于2021.4.20签署知情同意书,2021.5.10入组接受MRG002治疗。患者基线期多发转移(肺转移、肝转移),2021.6.21治疗第2周期时进行了第1次影像学评估,发现肝转移灶由15.97 mm缩小至10.01 mm(图1)。评估为PR。同时患者治疗期间耐受性好,不良反应多为1级。

MRG002未来可期
乳腺癌已取代肺癌,成为全球第一大癌症,严重威胁着女性生命健康。其中,HER2阳性乳腺癌占比约为20%~25%。曲妥珠单抗的问世显著改善了这部分患者的预后,随着患者生存期的延长、靶向治疗的广泛应用,耐药已成为临床亟待解决的重点问题。早在100多年前,著名的德国科学家、诺贝尔生理学或医学奖取得者Paul Ehrlich就提出了“魔术子弹”(magic bullet)的概念,随着生物技术水平的开展,单克隆抗体研发的不断突破,以ADC为代表的“魔术子弹”带来了肿瘤治疗领域的新希望,也成为了国内外抗体药物研发的新热门。
这项多中心、开放标签、剂量递增和扩大的I期临床研究旨在探索MRG002治疗HER2阳性晚期实体瘤患者的安全性、耐受性、有效性和药代动力学特征。7月2~3日,2021年中国临床肿瘤学年度进展研讨会(BOC)暨Best of ASCO®️ 2021 China(BOA)上公布了研究的初步结果,MRG002安全性良好,16例可评估疗效的乳腺癌患者客观缓解率(ORR)高达50.0%,疾病控制率(DCR)高达81.3%。振奋人心的数据再次证实了ADC药物的临床应用前景。
当前,对于HER2阳性晚期乳腺癌,国内外多个指南推荐的标准一线治疗方案为曲妥珠单抗+帕妥珠单抗,二线治疗有乳腺癌领域首个ADC类药物T-DM1、小分子酪氨酸激酶抑制剂(TKI)吡咯替尼等,三线治疗尚未达成共识,多个ADC类药物正在持续探索布局。回首本例乳腺癌患者的诊疗经过,第一时间,患者在曲妥珠单抗、帕妥珠单抗、T-DM1、吡咯替尼多个抗HER2靶向治疗、化疗、放疗等多线治疗后疾病进展,纳入临床研究,予MRG002治疗2个周期即观察到了肝转移灶的明显缩小,疗效评价为PR。MRG002在T-DM1经治HER2阳性晚期乳腺癌患者中仍然有效,彰显了MRG002强大的抗肿瘤疗效,这与其独特的结构和创新的作用机制相关。MRG002由糖修饰曲妥珠单抗顺利获得可酶切vc连接子与MMAE偶联而成,高亲和力的曲妥珠单抗可与肿瘤细胞表面HER2抗原特异性结合,内化并释放细胞毒有效载荷MMAE,有效抑制微管蛋白聚合,从而干扰有丝分裂等微管相关功能,发挥杀伤肿瘤细胞的作用。放眼当下乳腺癌抗HER2治疗研究进展,MRG002对于T-DM1经治患者依然具有良好的抗肿瘤活性,类似的结果仅在DS-8201相关研究中可见。第二,患者在治疗过程中不良反应可控。MRG002创新的经修饰曲妥珠单抗在Fc区具有选择性的较高岩藻糖基化水平,导致Fc与效应免疫细胞结合减少,尽可能避免了MRG002对免疫细胞的潜在杀伤作用,保护了患者的免疫功能。随着随访时间的延长,研究者将进一步观察MRG002的疗效和安全性。
现在,这项MRG002治疗HER2阳性晚期实体瘤患者的多中心、开放标签、剂量递增和扩大的I期临床研究仍在持续召开,可喜的是,题为“FIH Phase I dose escalation and expansion study of anti-HER2 ADC MRG002 in patients with HER2 positive solid tumors”的研究摘要成功被欧洲肿瘤内科学会(ESMO)2021年会收录,而MRG002治疗HER2低表达局部晚期或转移性乳腺癌的临床研究也在布局。期待更多研究结果的发布,为这部分患者带来新希望!
(病例给予和全文审校:吉林大学第一医院贾琳主治医师、吕铮副主任医师)
文章来源:中国医学论坛报