*仅供医学专业人士阅读参考

MRG003治疗EGFR突变和驱动基因突变阴性的晚期NSCLC患者仅2次(6周),靶病灶缩小超50%,达PR,为NSCLC后线治疗给予新策略。
肺癌对人类健康的威胁日益严重,据2020年WHO统计数据表明,我国肺癌年新发病例超81万,年死亡病例超71万,位居我国恶性肿瘤发病率和死亡率之首[1]。非小细胞肺癌(NSCLC)是肺癌中最常见的一种类型,约占肺癌的80%-85%[2]。中国患者NSCLC的EGFR突变率高达60.0%[3],针对晚期EGFR突变NSCLC患者,一线或二线标准治疗仍以EGFR-酪氨酸激酶抑制剂(TKI)为主,但是EGFR-TKI治疗耐药是NSCLC治疗失败导致肿瘤复发和疾病进展的主要原因。而针对驱动基因突变阴性的NSCLC患者,现在含铂双药化疗、免疫单药及二者的联合方案(联合或不联合贝伐珠单抗)是一线标准治疗,但二线治疗选择及疗效均非常有限[4]。因此,如何进一步改善EGFR突变及驱动基因突变阴性NSCLC患者的生存获益是现在临床面临的重要挑战。
新一代抗体药物偶联物(ADC)MRG003或将为NSCLC二线及以上治疗领域带来新的突破,一项在EGFR阳性晚期NSCLC患者中评估MRG003有效性和安全性的Ⅱ期临床试验中,NSCLC队列入组的3例患者(包括EGFR突变和驱动基因突变阴性),既往经EGFR-TKI或化疗治疗长达一年之余,疾病进展(PD),后续接受MRG003治疗仅2次(6周),靶病灶直径总和均缩小50%以上,达部分缓解(PR),显示出令人鼓舞的治疗活性,为NSCLC后线治疗带来新的希望。同时也意味着以MRG003为代表的EGFR靶向ADC药物将为晚期NSCLC带来新的治疗变革。
病例简介及试验入组
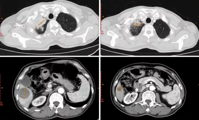
病例1患者为晚期原发性支气管肺癌(腺癌),接受埃克替尼一线治疗超过13个月之久,进展(不存在T790M突变)后入组MRG003针对EGFR阳性晚期NSCLC进行的Ⅱ期临床试验,治疗仅2次(6周),靶病灶直径总和缩小51.1%,疗效评估达PR(图1)。

图1. 治疗前(左上:右肺上叶病灶;左下:肝脏转移病灶)及治疗后(右上:右肺上叶病灶;右下:肝脏转移病灶)病灶变化
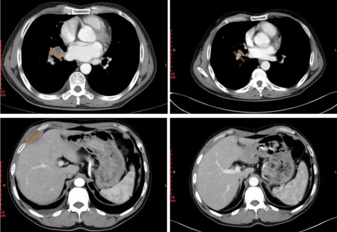
病例2患者为晚期右肺腺癌,接受吉非替尼一线治疗近15个月,进展后接受阿美替尼二线治疗5个月余,疾病再次进展,入组Ⅱ期临床试验,接受MRG003治疗仅2次(6周),靶病灶直径总和缩小50.1%,疗效评估达PR(图2)。

图2. 治疗前(左上:右肺门处病灶;左下:右侧胸壁转移瘤)及治疗后(右上:右肺门处病灶;右下:右侧胸壁转移瘤)病灶变化
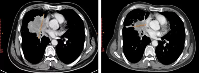
病例3患者为晚期肺鳞癌(包括EGFR、ALK、ROS1、BRAF V600E、MET外显子14、RET或NTRK基因组异常均为阴性),接受多西他赛+顺铂(DP)方案一线治疗,12个月后疾病进展。随后入组Ⅱ期临床试验接受MRG003治疗仅2次(6周),靶病灶直径总和缩小54.1%,疗效评估达PR(图3)。

图3. 治疗前(左)及治疗后(右)右肺门处病灶变化
表1.Ⅱ期临床试验的3个NSCLC人群中,患者的治疗及疗效评估情况

病例点评
EGFR是EGF受体家族的跨膜受体酪氨酸激酶(RTK)。能顺利获得促进信号级联反应,调节肿瘤细胞的生长、信号传导、分化、粘附、迁移及存活。基于其在肿瘤生物学中的多维作用以及在肺癌中广泛过表达,EGFR成为肺癌领域开发非常成功的治疗靶标。现在,临床上已经开发出多种靶向EGFR的治疗药物(EGFR-TKI、单抗等)[3]。
现在,EGFR-TKI是EGFR 突变NSCLC患者的标准治疗选择,但是取得性耐药成为影响患者进一步获益的关键因素。EGFR-TKI常见耐药机制可能是由于在细胞质结构域中发生EGFR突变以及小细胞转化、C-Met、ALK及ERBB2扩增/突变等。MRG003是由鸿运国际(中国)生物旗下的美雅珂公司研发的靶向EGFR的新型ADC药物,具有高亲和力/快速内吞的创新EGFR抗体部分和成熟且经多个临床验证的vcMMAE ADC平台,并且有合理的药物抗体比(DAR)设计。其作用机制独立于导致EGFR-TKI和抗体靶向药物耐药的机制。基于靶向联合化疗的创新结构设计,预期MRG003能够克服因常见突变导致的多种不同类型耐药。并且临床前研究已经证实MRG003针对T790M突变NSCLC肿瘤模型,具有显著增强的抗肿瘤活性[3]。
而针对驱动基因突变阴性的NSCLC患者,既往以化疗为主的综合治疗是主要治疗方式。近年来,随着免疫检查点抑制剂及抗血管生成靶向药物的应用,这部分患者的治疗手段逐渐多样化。但在二线治疗中,对于既往未接受免疫治疗的患者,二线可选择免疫检查点抑制剂治疗,但仅推荐纳武利尤单抗、帕博利珠单抗或阿替利珠单抗。对于免疫治疗有禁忌症的患者,二线则推荐多西他赛或者培美曲塞,但研究表明这些疗法对患者的生存改善并不理想。对于一线接受过免疫治疗的患者,二线推荐联合化疗方案,但患者可能面临化疗耐药的影响。因此,总体而言,驱动基因突变阴性的NSCLC患者面临的治疗选择有限,且生存获益仍有待提高[4,5]。
在这项MRG003用于EGFR阳性晚期NSCLC的Ⅱ期临床试验中,3例晚期NSCLC患者既往接受EGFR-TKI或化疗,疾病进展后序贯MRG003治疗仅2次(6周)就取得PR,疗效十分显著,既有力验证了MRG003能有效克服EGFR耐药突变的治疗特性,又为驱动基因突变阴性的NSCLC患者二线治疗给予了新的治疗思路,并提示MRG003可能独立于ALK、ROS1、 BRAF、cMET、NTRK和KRAS状态以及有可能在表达PD-L1的肿瘤类型中定义新的标准治疗。
MRG003是现在国内处于临床研究阶段首创的靶向EGFR的ADC药物,其针对EGFR阳性晚期实体瘤进行的I期临床试验即将发布于2021年欧洲肿瘤内科学会(ESMO)年会。并且,现在鸿运国际(中国)生物旗下的美雅珂公司正在中国召开MRG003单药用于复发性或转移性晚期头颈部鳞癌(HNSCC)、胆道癌(BTC)及鼻咽癌(NPC)的II期临床试验。总的来说,MRG003是EGFR阳性晚期实体瘤治疗领域中具有重大潜力的ADC药物,期待相关研究成果早日披露,进一步丰富临床治疗决策。
现在该Ⅱ期临床试验仍在招募中,招募对象包括:存在EGFR突变并经过相应EGFR-TKI标准一线或二线治疗失败,或者无EGFR突变经过一线标准治疗失败的NSCLC患者。如果您对本临床研究有兴趣,可以联系:
联系电话:021-61637960
电子邮箱:office_linchuang@gsyct.com
或前往以下研究中心看医生门诊,门诊时间见下表。

*病例由湖南省肿瘤医院邬麟教授和湖南省直中医院肖茂良主任给予并审阅。
参考资料:
[1]http://gco.iarc.fr/today/home
[2] 非小细胞肺癌辅助治疗胸外科共识专家组.中国胸外科专家共识( 2018版). 中国肺癌杂志.2018.21(10):731-736.
[3] 鸿运国际(中国)生物招股说明书
[4]HannaNH, Schneider BJ, Temin S, et al. Therapy for Stage IV Non-Small-Cell LungCancer Without Driver Alterations: ASCO and OH (CCO) Joint Guideline Update[published online ahead of print, 2020 Jan 28]. J Clin Oncol. 2020;JCO1903022.
[5]BarnfieldPC, Ellis PM. Second-Line Treatment of Non-Small Cell Lung Cancer: NewDevelopments for Tumours Not Harbouring Targetable Oncogenic Driver Mutations.Drugs. 2016 Sep;76(14):1321-36.
*此文仅用于向医学人士给予科学信息,不代表本平台观点
文章来源:医学界肿瘤频道